Implantologia
Ricreare la naturale stabilità e funzionalità dei tuoi denti, per un benessere duraturo
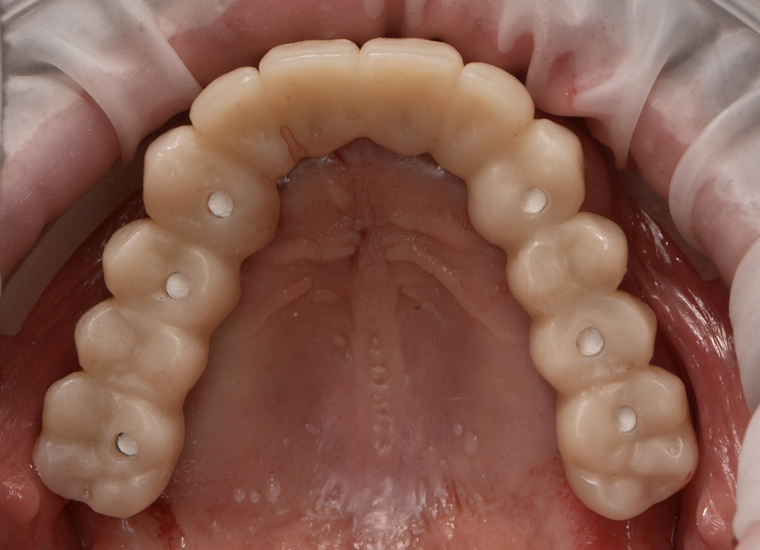
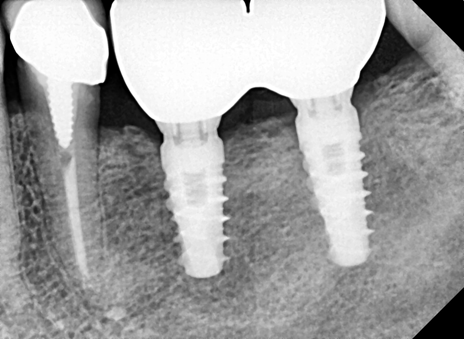
Esistono varie soluzioni per sostituire uno o più denti mancanti; tra queste, una è rappresentata dagli impianti. L’impianto è una struttura in titanio, normalmente di forma simile a quella di una radice dentaria, che viene inserita, con un intervento in anestesia locale, nella mandibola o nel mascellare superiore e che è in grado di sostituire funzionalmente ed esteticamente il dente o i denti mancanti.
Una volta inserito l’impianto, prende avvio un processo di guarigione che porta alla sua integrazione nell’osso (osteointegrazione). In base alle indicazioni e al quadro clinico è possibile inserire uno o più impianti creando, quindi, le premesse per l’applicazione di una corona singola o di un manufatto protesico, più o meno esteso.
Gli impianti possono anche rappresentare un’ottima strategia di trattamento nei soggetti totalmente edentuli.

Che cos’è l’Implantologia Computer Guidata
È una tecnica basata su un rivoluzionario sistema di pianificazione del trattamento attraverso la chirurgia guidata, che al giorno d’oggi rappresenta la massima evoluzione nell’implantologia dentale. Questa disciplina infatti consente al medico di pianificare l’intervento chirurgico al computer sulla base di un’indagine Tomografia Assiale Computerizzata.
Il sistema permette al clinico di progettare al computer la posizione e la dimensione esatta degli impianti prima dell’intervento chirurgico utilizzando la ricostruzione tridimensionale (3D) di una zona o dell’intera arcata dentale per poi richiedere ad un centro specializzato la costruzione di una guida chirurgica estremamente precisa che permetterà di eseguire un intervento atraumatico.
Questa tecnica consente inoltre la realizzazione di una protesi immediata ancora prima di effettuare l’intervento.
Il sorriso è una cosa seria.
Non è solo una piacevole reazione istintiva, ma una manifestazione di armonia interiore, connessione sociale e benessere personale. È un linguaggio universale che attraversa culture e confini, e risponde al nostro bisogno di relazionarci, sentirci bene e celebrare la vita.










